Case of the Month - November, 2017
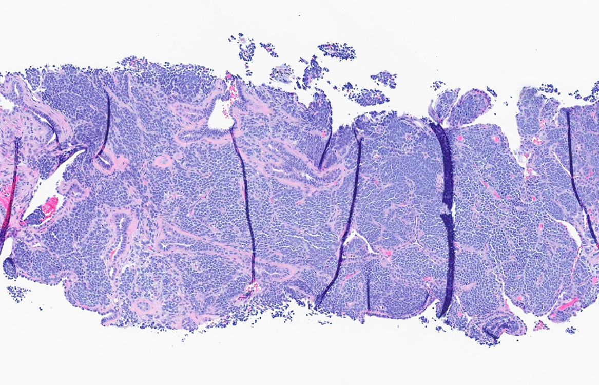
Figure 1 (H and E 5x)
Figure 2 (H and E 10x)
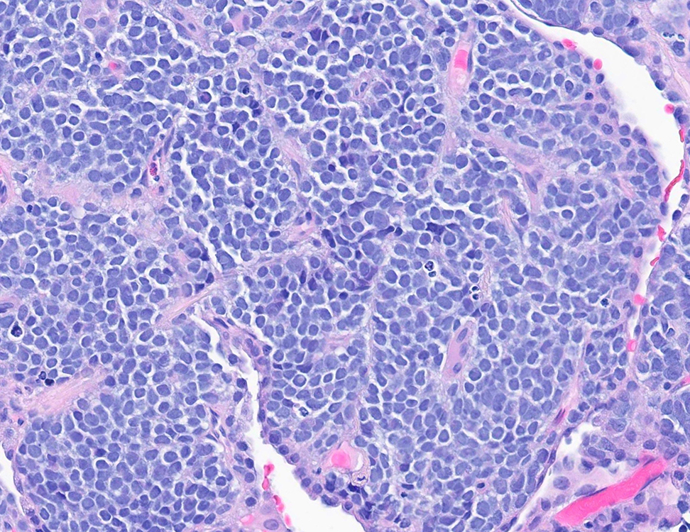
Figure 3 (H and E 40x)
Figure 4 (CD99)
Figure 5 (NKX2.2)
Figure 6 (CD56)