Case of the Month - November, 2025
Case of the Month - November, 2017
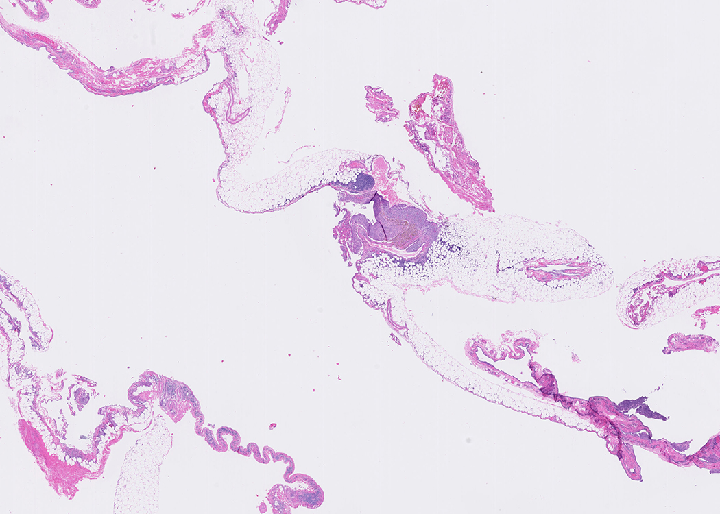
Figure 1
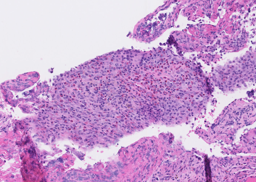
Figure 2
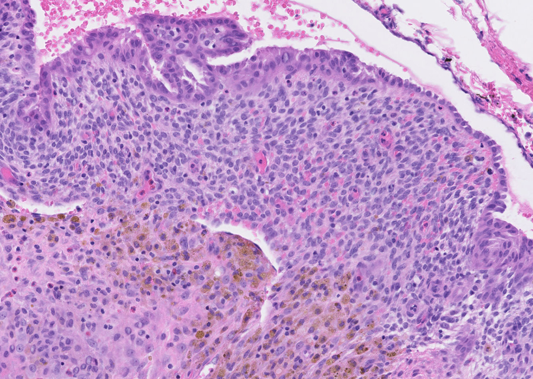
Figure 3
Figure 4
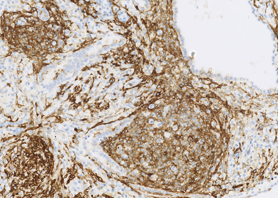
Figure 5
Figure 6