Hotel Accomodations
Meeting venue: Palais Montcalm
Call for Mystery Cases!
International Mesothelioma Panel-PPS QUEBEC June 27, 2026 (all PPS members welcome)
December Case of the Month Clinical History:
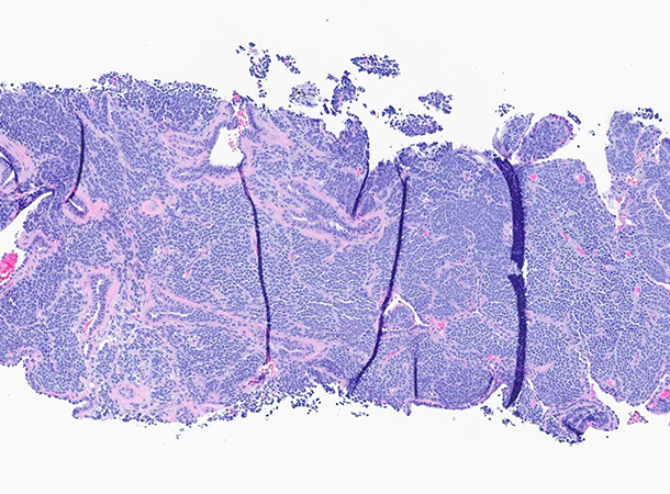
A 74-year-old woman, never smoker, with no significant past medical history, was found to have an incidental left upper lobe lung nodule following a fall. The lesion showed progressive growth, and a biopsy was performed (see Figures 1 through 6).
Click here to see more.
A 74-year-old woman, never smoker, with no significant past medical history, was found to have an incidental left upper lobe lung nodule following a fall. The lesion showed progressive growth, and a biopsy was performed (see Figures 1 through 6).
Click here to see more.

