Click here to see all images
January, 2026
Case of the Month
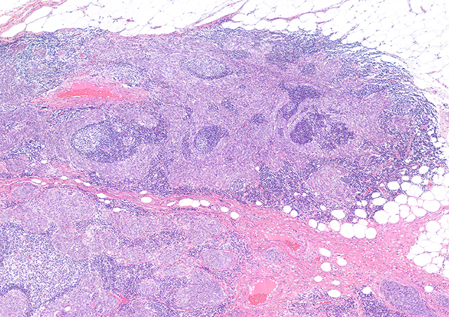
Clinical History:A 76-year-old woman presented to the emergency department with acute chest pain associated with hypertensive crisis and flushing. A thoracic computed tomography (CT) scan revealed a 22-mm nodule in the anterior mediastinum. The lesion was surgically excised shortly thereafter. On gross examination, the specimen consisted of a well-circumscribed, solid-cystic whitish lesion. Histopathological findings on hematoxylin and eosin staining are shown in Figures 1 and 2. Immunohistochemical results are presented in Figure 3 (p40), Figure 4 (CD5), Figure 5 (c-KIT), and Figure 6 (TdT). Neoplastic cells were negative for neuroendocrine markers, PAX8, and Epstein-Barr virus (EBV).
Q1. Which of the following immunohistochemical stains result is most useful in differentiating a thymoma from a thymic carcinoma?
- Co-expression of CD5 and c-KIT
- Positivity of cytokeratin markers
- Expressin of neuroendocrine markers
- PAX8
Q2. Which of the following entities is most important to consider in the differential diagnosis of this tumor due to its similar lymphoid-rich appearance?
- Primary mediastinal lymphoma
- Lymphoepithelioma-like carcinoma of the thymus
- Metastatic adenocarcinoma of the lung
- Hodgkin lymphoma
Q3. Which statement best describes the lymphoid stroma in this entity?
- It consists mainly of TdT-positive immature T cells
- It is composed of mature, reactive B and T lymphocytes with germinal centers
- It is monoclonal
- It may have EBV expression
Answers to Quiz
Q1. A
Q2. B
Q3. B
Q2. B
Q3. B
Diagnosis
Micronodular thymic carcinoma with lymphoid stroma
Discussion
Micronodular thymic carcinoma with lymphoid stroma (MTCLS) is a rare thymic epithelial tumor, provisionally classified as a subtype of thymic squamous cell carcinoma (SCC) in the 2021 WHO classification. It is characterized by multiple small epithelial nodules separated by abundant lymphoid stroma with reactive germinal centers, a pattern that closely mimics micronodular thymoma with lymphoid stroma (MTLS). In our case, the hematoxylin and eosin sections (Figures 1 and 2) demonstrate well-defined micronodules of tumor cells with cytologic atypia, including vesicular nuclei, prominent nucleoli, and scattered mitoses. The lymphoid background is reactive and polyclonal, with well-developed germinal centers and TdT-negative mature lymphocytes, unlike conventional thymomas where TdT-positive immature T cells are present. Immunohistochemistry was key to the diagnosis. The tumor cells co-expressed CD5 and c-KIT (CD117) (Figures 4 and 5), a profile typical of thymic carcinoma and not seen in thymomas. They were negative for PAX8 and neuroendocrine markers, helping to exclude metastatic carcinoma and neuroendocrine tumors. TdT was negative in the lymphoid stroma (Figure 6), confirming its mature, reactive nature.
The main differential diagnosis includes: MTLS (which shares the micronodular pattern but lacks cytologic atypia and CD5/c-KIT expression), lymphoepithelioma-like carcinoma (which shows diffuse sheets of EBV-positive tumor cells rather than discrete nodules), primary mediastinal lymphomas (which lack epithelial nodules and show clonal lymphoid populations) and metastatic carcinoma, ruled out by the characteristic immunoprofile of thymic carcinoma (CD5+/c-KIT+). Clinically, MTCLS typically affects older adults and is often discovered incidentally or presents with non-specific symptoms such as chest discomfort. Unlike thymomas, paraneoplastic syndromes such as myasthenia gravis are rare. Although it is a carcinoma, available data suggests less aggressive behavior than conventional thymic carcinomas, with favorable outcomes after complete surgical excision
Take home message for trainees: Think of MTCLS when you see CD5/c-KIT–positive epithelial micronodules with a dense, reactive lymphoid stroma in the anterior mediastinum
The main differential diagnosis includes: MTLS (which shares the micronodular pattern but lacks cytologic atypia and CD5/c-KIT expression), lymphoepithelioma-like carcinoma (which shows diffuse sheets of EBV-positive tumor cells rather than discrete nodules), primary mediastinal lymphomas (which lack epithelial nodules and show clonal lymphoid populations) and metastatic carcinoma, ruled out by the characteristic immunoprofile of thymic carcinoma (CD5+/c-KIT+). Clinically, MTCLS typically affects older adults and is often discovered incidentally or presents with non-specific symptoms such as chest discomfort. Unlike thymomas, paraneoplastic syndromes such as myasthenia gravis are rare. Although it is a carcinoma, available data suggests less aggressive behavior than conventional thymic carcinomas, with favorable outcomes after complete surgical excision
Take home message for trainees: Think of MTCLS when you see CD5/c-KIT–positive epithelial micronodules with a dense, reactive lymphoid stroma in the anterior mediastinum
References
Mneimneh WS, Suster D, Moran CA, et al. Micronodular thymic carcinoma with lymphoid hyperplasia: clinicopathologic, immunohistochemical, and molecular study of 8 new cases and review of the literature. Am J Surg Pathol 2015;39:541-7.
Roden AC, Sholl LM, Goswami RS, et al. Update on classification of thymic epithelial neoplasms: the 2021 WHO classification. Histopathology 2022;81:115-26.
Suster S, Moran CA. Micronodular thymoma with lymphoid B-cell hyperplasia: clinicopathologic and immunohistochemical study of eighteen cases of a distinctive morphologic variant of thymic epithelial neoplasm. Am J Surg Pathol 1999;23:955-62.
Tateyama H, Sugiura H, Oze I, et al. Micronodular thymoma with lymphoid stroma: a clinicopathologic study of 20 cases. Am J Surg Pathol 2001;25:1041-50.
Roden AC, Sholl LM, Goswami RS, et al. Update on classification of thymic epithelial neoplasms: the 2021 WHO classification. Histopathology 2022;81:115-26.
Suster S, Moran CA. Micronodular thymoma with lymphoid B-cell hyperplasia: clinicopathologic and immunohistochemical study of eighteen cases of a distinctive morphologic variant of thymic epithelial neoplasm. Am J Surg Pathol 1999;23:955-62.
Tateyama H, Sugiura H, Oze I, et al. Micronodular thymoma with lymphoid stroma: a clinicopathologic study of 20 cases. Am J Surg Pathol 2001;25:1041-50.
Contributors
Raluca Oana Nathalia Zagrean, MD
Resident Physician, Pathology
Vall d'Hebron University Hospital
Barcelona, Spain
Ingrid Strohecker, Ms
Laboratory technician, Pathology
Vall d'Hebron University Hospital
Barcelona, Spain
Irene Sansano Valero, MD, PhD
Thoracic Pathologist
Vall d'Hebron University Hospital
Barcelona, Spain
Resident Physician, Pathology
Vall d'Hebron University Hospital
Barcelona, Spain
Ingrid Strohecker, Ms
Laboratory technician, Pathology
Vall d'Hebron University Hospital
Barcelona, Spain
Irene Sansano Valero, MD, PhD
Thoracic Pathologist
Vall d'Hebron University Hospital
Barcelona, Spain

